Портативный рентген дентальный VATECH EzRay Air Vet

Аппарат рентгеновский дентальный портативный EzRay Air Portable
Написать нам
01 / 01
Аппарат рентгеновский дентальный портативный EzRay Air Portable
Написать нам
01
Свойства


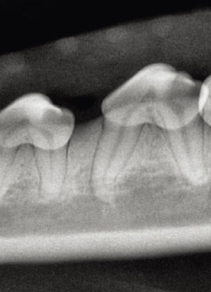
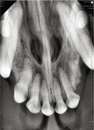
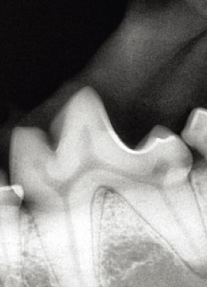
Решения для интраоральной диагностики в ветеринарии

EzRay Air Vet использует технологию Carbon nanotube для получения диагностических изображений с высоким разрешением. Рентгеновские трубки CNT функционируют более эффективно, чем традиционные трубки, устраняя высокие температуры, связанные с термоэлектронной эмиссией, необходимой для рентгеновского облучения. Эта технология позволяет обеспечить компактную конструкцию, а также однородность изображения.

Эргономичный дизайн, безопасность и комфорт

[ Облегченная конструкция ]
Сверхлегкая рентгеновская трубка упрощает работу одной рукой
[ Двойная защита от излучения ]
Внутренняя защита от утечки излучения и внешняя защита от обратного рассеивания значительно снижает дозу облучения оператора.
[ Форма рукоятки ]
Эргономичная рукоятка обеспечивает удобный хват рукой
[ Скругленные края ]
Округлые формы менее травматичны при работе с аппаратом
[ Предотвращение падения ]
Прикрепленный шейный / наручный ремешок предотвращает случайное падение трубки

Четкие изображения с фокальным пятном 0,4 мм

Чем меньше размер фокального пятна, тем выше четкость и резкость изображения.


Автоматическая настройка экспозиции по углу наклона трубки

Некоторые участки в ротовой полости представляют сложность для корректной визуализации зубов из-за сложности размещения датчика на слизистой и сложной ориентации зубов. В таких случаях тубус рентгеновской трубки должен быть наклонен таким образом, чтобы захватить эти изображения, а время экспозиции должно быть установлено с учетом типа выбранного зуба. EzRay Air Vet может автоматизировать настройку экспозиции в зависимости от угла наклона трубки.


02
Характеристики
Фокальное пятно
0.4 мм (IEC 60336)
Напряжение на трубке (кВ)
65 кВ
Ток (мА)
2.5 мА
Время экспозиции
0.05 ~ 0.5 сек
Общая фильтрация
Мин. 1.5 мм экв AI
Расстояние от источника до кожи
200 мм
Поле облучения
По умолчанию: 60 мм Круг, 30 x 40 мм Прямоугольник
Опция: 20 x 30 мм Прямоугольник
Максимальный рабочий цикл
1 : 60
Входная мощность
22.2 В
Вес
1.8 кг

Размеры

03
Инструкции
РУ КК