Диагностика

Планирование челюстно-лицевых операций посредством конусно-лучевой компьютерной томографии

Резюме

Повреждение челюстно-лицевой области является актуальной медико-социальной проблемой, составляя почти 40% от общего числа травм. При этом сочетанные повреждения орбиты и лицевого скелета наблюдаются практически у каждого третьего пациента.

Клиническая оценка пострадавших этой категории нередко зависит от степени повреждения головного мозга, органов зрения, придаточных пазух носа и зубочелюстной системы в целом.

Анализ публикаций последних лет свидетельствует о возросшем интересе специалистов к новым возможностям в лечении травм челюстно-лицевого скелета, что обусловлено серьезными последствиями функциональных и косметических нарушений.

Особое место в современной челюстно-лицевой травматологии занимают повреждения скулоносоорбитального комплекса, требующие участия в процессе лечения челюстно-лицевых хирургов, нейрохирургов, оториноларингологов, офтальмологов, а также особой рентгеновской комплектации. Лучевая диагностика располагает сравнительно новым исследованием – конусно-лучевая компьютерная томография с истинным трехмерным изображением объекта съемки. Отличительной особенностью методики является конический луч, который за один оборот трубки отражает интересуемый объект исследования в 360 проекциях. При относительно низкой лучевой нагрузке на основе конусно-лучевого сканирования дентальная объемная томография позволяет в течение нескольких секунд трехмерно реконструировать изображения и получить все необходимые данные

Конусно-лучевая компьютерная томография позволяет построить виртуальную модель глазницы, скуловой кости, носовой полости, челюстных костей, содержимого гайморовых пазух. Наличие в отделении дентальной объемной томографии позволяет клиницисту детально оценить локализацию, границы и распространенность патологического процесса, спланировать объем оперативных вмешательств, оценить результаты проведенного лечения, а также возможности дальнейших корректировок. Одним из лидеров мировых 3D технологий по праву считается компания Vatech Global и ее аппарат PaX-i3D с объемом сканирования 17x15 (Рис. 1).

Рис.1 Аппарат PaX-i 3D с объемом сканирования 17x15 от Vatech

Использование цифровых методов анализа полученных данных диктует необходимость интегрированного подхода к определению изменений, выявляемых на компьютерных томограммах. Дентальная объемная томография существенно расширяет диагностические возможности в случаях травматического повреждения отдельных структур лица, в том числе стенок верхнечелюстного синуса. Достоинством конусно-лучевой компьютерной томографии с объемом сканирования 17х15 является получение изображения за 9 секунд в режиме Low Dose. Визуализация костных структур глазницы, пазух, челюстных костей в реальном масштабе, возможность количественной и качественной оценки патологически измененных структур, а также наличие масштабной шкалы на томограммах позволяет в каждом конкретном случае измерить линейные параметры любого из костных элементов, входящих в скулоорбитальный комплекс, а также область челюстных костей.

Так, например, гипоплазированные верхнечелюстные пазухи часто создают условия для развития патологических процессов, что особенно важно при подготовке имплантации в сегменте 15-17; 25-27 отсутствующих зубов. Такая рентгеноанатомия может являться следствием радикальной гайморотомии по Колдуэллу-Люку или быть врожденной гипоплазией. По данным конусно-лучевых томограмм обнаруживаются изменения топографических соотношений синуса и окружающих его структур. При измерении стенок верхнечелюстной пазухи отмечается высокая степень их толщины. Медиальная стенка при склеротическом типе строения пазухи имеет форму дуги, при этом выпуклость направлена к перегородке носа. Естественное соустье находится при таком типе строения в задней части этой аркады. Такая анатомическая специфика лучше выявляется на аксиальных компьютерных томограммах (Рис.2).

В случаях сложных повреждений костных структур лицевого отдела головы получение трехмерных изображений позволяет иметь более полную рентгенологическую картину состояния черепа. В Европе и США все чаще встречаются статьи об использовании конусно-лучевых томографов при оперативных вмешательствах средней зоны лица.

Рис.2 Конусно-лучевая компьютерная томограмма в аксиальной проекции. П/О Ez3D-i V4.0. Гипоплазия правой верхнечелюстной пазухи после проведения радикальной гайморотомии по Колдуэллу - Люку.

При анализе данных при переломе медиальной стенки глазницы регистрируется причина послеоперационного энофтальма. Возможность повреждения медиальной стенки глазницы при взрывных переломах должна быть оценена при всех переломах дна. Гематомы в области глазницы чаще всего наблюдаются при переломах ее медиальной стенки как результат кровотечения из решетчатых сосудов.

В случаях грубых деформаций орбиты, которые нередко развиваются при недостаточно профессионально проведенном первоначальном хирургическом лечении, неправильное сращение переломов верхней стенки глазницы может обусловливаться повреждением выступающего лобно-орбитального края, лобной кости и лобной пазухи. В некоторых случаях экзофтальм может быть вызван выпадением участка головного мозга в орбиту при обширных дефектах ее верхней стенки.

Переломы крыши глазницы обычно являются частью тяжелых лобно-базилярных переломов, вызываемых ударными силами, сфокусированными над глазницей. В клинической практике встречаются и сочетанные переломы всего лицевого скелета, включая односторонние или двухсторонние глазнично-скуловые переломы. Поэтапное восстановление этих черепно-лицевых повреждений начинается с применения конусно-лучевой томографии при подготовке к анатомической реконструкции лобной планки, которая включает скуловые отростки лобной кости, верхние края глазниц и область надпереносья.

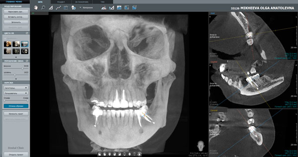
Также в обязанности челюстно-лицевых хирургов зачастую входит проведение костной пластики челюстных костей при атрофии с последующей дентальной имплантацией. Данные 3D –томографии с объемом сканирования 17x15 информируют о состоянии альвеолярных отростков челюстей, зубов, ретромолярных треугольников, при ретенции, дистопии зубов мудрости, ходе нижнечелюстных каналов (Рис.3).

Рис.3 Режим виртуальной реальности в П/О Ez3D-iV4.0 3D-томоргаммы. Аппарат PaX-i3D с объемом сканирования 17x15 от Vatech.

Выводы.

Главной задачей для хирурга является полное раскрытие возможностей 3D технологии, используя все опции, доступные в обновлениях программных средств. Объем сканирования 17х15 от Vatech является наиболее подходящим для работы в условиях челюстно-лицевого стационара реконструктивной направленности. При множественных травмах, требующих помощи специалистов различного профиля, конусно-лучевая компьютерная томография является скрининг-диагностикой, что способствует прогрессу и успешному лечению пациентов.


Резюме

Повреждение челюстно-лицевой области является актуальной медико-социальной проблемой, составляя почти 40% от общего числа травм. При этом сочетанные повреждения орбиты и лицевого скелета наблюдаются практически у каждого третьего пациента.

Клиническая оценка пострадавших этой категории нередко зависит от степени повреждения головного мозга, органов зрения, придаточных пазух носа и зубочелюстной системы в целом.

Анализ публикаций последних лет свидетельствует о возросшем интересе специалистов к новым возможностям в лечении травм челюстно-лицевого скелета, что обусловлено серьезными последствиями функциональных и косметических нарушений.

Особое место в современной челюстно-лицевой травматологии занимают повреждения скулоносоорбитального комплекса, требующие участия в процессе лечения челюстно-лицевых хирургов, нейрохирургов, оториноларингологов, офтальмологов, а также особой рентгеновской комплектации. Лучевая диагностика располагает сравнительно новым исследованием – конусно-лучевая компьютерная томография с истинным трехмерным изображением объекта съемки. Отличительной особенностью методики является конический луч, который за один оборот трубки отражает интересуемый объект исследования в 360 проекциях. При относительно низкой лучевой нагрузке на основе конусно-лучевого сканирования дентальная объемная томография позволяет в течение нескольких секунд трехмерно реконструировать изображения и получить все необходимые данные

Конусно-лучевая компьютерная томография позволяет построить виртуальную модель глазницы, скуловой кости, носовой полости, челюстных костей, содержимого гайморовых пазух. Наличие в отделении дентальной объемной томографии позволяет клиницисту детально оценить локализацию, границы и распространенность патологического процесса, спланировать объем оперативных вмешательств, оценить результаты проведенного лечения, а также возможности дальнейших корректировок. Одним из лидеров мировых 3D технологий по праву считается компания Vatech Global и ее аппарат PaX-i3D с объемом сканирования 17x15 (Рис. 1).

Рис.1 Аппарат PaX-i 3D с объемом сканирования 17x15 от Vatech

Использование цифровых методов анализа полученных данных диктует необходимость интегрированного подхода к определению изменений, выявляемых на компьютерных томограммах. Дентальная объемная томография существенно расширяет диагностические возможности в случаях травматического повреждения отдельных структур лица, в том числе стенок верхнечелюстного синуса. Достоинством конусно-лучевой компьютерной томографии с объемом сканирования 17х15 является получение изображения за 9 секунд в режиме Low Dose. Визуализация костных структур глазницы, пазух, челюстных костей в реальном масштабе, возможность количественной и качественной оценки патологически измененных структур, а также наличие масштабной шкалы на томограммах позволяет в каждом конкретном случае измерить линейные параметры любого из костных элементов, входящих в скулоорбитальный комплекс, а также область челюстных костей.

Так, например, гипоплазированные верхнечелюстные пазухи часто создают условия для развития патологических процессов, что особенно важно при подготовке имплантации в сегменте 15-17; 25-27 отсутствующих зубов. Такая рентгеноанатомия может являться следствием радикальной гайморотомии по Колдуэллу-Люку или быть врожденной гипоплазией. По данным конусно-лучевых томограмм обнаруживаются изменения топографических соотношений синуса и окружающих его структур. При измерении стенок верхнечелюстной пазухи отмечается высокая степень их толщины. Медиальная стенка при склеротическом типе строения пазухи имеет форму дуги, при этом выпуклость направлена к перегородке носа. Естественное соустье находится при таком типе строения в задней части этой аркады. Такая анатомическая специфика лучше выявляется на аксиальных компьютерных томограммах (Рис.2).

В случаях сложных повреждений костных структур лицевого отдела головы получение трехмерных изображений позволяет иметь более полную рентгенологическую картину состояния черепа. В Европе и США все чаще встречаются статьи об использовании конусно-лучевых томографов при оперативных вмешательствах средней зоны лица.

Рис.2 Конусно-лучевая компьютерная томограмма в аксиальной проекции. П/О Ez3D-i V4.0. Гипоплазия правой верхнечелюстной пазухи после проведения радикальной гайморотомии по Колдуэллу - Люку.

При анализе данных при переломе медиальной стенки глазницы регистрируется причина послеоперационного энофтальма. Возможность повреждения медиальной стенки глазницы при взрывных переломах должна быть оценена при всех переломах дна. Гематомы в области глазницы чаще всего наблюдаются при переломах ее медиальной стенки как результат кровотечения из решетчатых сосудов.

В случаях грубых деформаций орбиты, которые нередко развиваются при недостаточно профессионально проведенном первоначальном хирургическом лечении, неправильное сращение переломов верхней стенки глазницы может обусловливаться повреждением выступающего лобно-орбитального края, лобной кости и лобной пазухи. В некоторых случаях экзофтальм может быть вызван выпадением участка головного мозга в орбиту при обширных дефектах ее верхней стенки.

Переломы крыши глазницы обычно являются частью тяжелых лобно-базилярных переломов, вызываемых ударными силами, сфокусированными над глазницей. В клинической практике встречаются и сочетанные переломы всего лицевого скелета, включая односторонние или двухсторонние глазнично-скуловые переломы. Поэтапное восстановление этих черепно-лицевых повреждений начинается с применения конусно-лучевой томографии при подготовке к анатомической реконструкции лобной планки, которая включает скуловые отростки лобной кости, верхние края глазниц и область надпереносья.

Также в обязанности челюстно-лицевых хирургов зачастую входит проведение костной пластики челюстных костей при атрофии с последующей дентальной имплантацией. Данные 3D –томографии с объемом сканирования 17x15 информируют о состоянии альвеолярных отростков челюстей, зубов, ретромолярных треугольников, при ретенции, дистопии зубов мудрости, ходе нижнечелюстных каналов (Рис.3).

Рис.3 Режим виртуальной реальности в П/О Ez3D-iV4.0 3D-томоргаммы. Аппарат PaX-i3D с объемом сканирования 17x15 от Vatech.

Выводы.

Главной задачей для хирурга является полное раскрытие возможностей 3D технологии, используя все опции, доступные в обновлениях программных средств. Объем сканирования 17х15 от Vatech является наиболее подходящим для работы в условиях челюстно-лицевого стационара реконструктивной направленности. При множественных травмах, требующих помощи специалистов различного профиля, конусно-лучевая компьютерная томография является скрининг-диагностикой, что способствует прогрессу и успешному лечению пациентов.