Диагностика

Диагностика повреждения нижнего альвеолярного нерва при дентальной имплантации посредством конусно-лучевой компьютерной томографии.

Резюме

Исход потери чувствительности временного или постоянного характера при повреждении нижнего альвеолярного нерва после хирургического этапа дентальной имплантации не очевиден. Изменения чувствительности могут выражаться различными симптомами. Сравнительный анализ различных методов лучевой диагностики установил, что использование конусно-лучевой компьютерной томографии при данном виде осложнении влияет на тактику дальнейшего лечения.

Ключевые слова:

Конусно-лучевая компьютерная томография, осложнения, нижний альвеолярный нерв, прогноз лечения, скрининговая диагностика

Summary

Temporary or permanent sensory impairment may result from injuries to nerve trunks during implant surgery. Establishing the prognosis is not simple. Patients may express the changes they subjectively perceive with a variety of words and ways. The comparative analysis of various methods of radiodiagnosis set that cone beam computed tomography can get helpful information for planning the treatment and envisage the result.

Key words:

Cone beam computed tomography, complications, the inferior alveolar nerve, treatment prognosis, screening diagnostic. Одним из предсказуемых и опасных осложнений при установке дентальных имплантатов на нижней челюсти следует считать повреждение нижнего альвеолярного нерва. Работами Сирака С.В., 2006 экспериментально установлена значительная вариабельность позиции нижнечелюстного канала в теле нижней челюсти. Так, практически в половине случаев нижнечелюстной канал имеет высокое расположение, т.е. вблизи верхушек корней зубов. Столь же часто он расположен у нижнего края челюсти. Редко, когда канал занимает срединное положение. Кроме того, канал может прилежать к язычной или щечной кортикальным пластинкам, либо располагаться срединно. В ряде случаев отмечается асимметрия в положении канала с обеих сторон челюсти. В исследованиях последних лет сообщается о травме нижнего альвеолярного нерва после зубной имплантации в 13-15% наблюдений, что, безусловно, определяет практическую значимость изучения постимплантационных невритов. Изучено 24 наблюдения повреждений нерва при дентальной имплантации на нижней челюсти. Практически во всех случаях осложнение фиксировано вскоре после завершения оперативного вмешательства. Пациенты жаловались на боль различной интенсивности, потерю чувствительности нижней губы и подбородка на стороне оперативного вмешательства. Клиническое обследование, кроме стандартных методик, включало электрофизиологическую диагностику функциональных нарушений нижнего альвеолярного нерва.

каналы стр 43
Рис. 1. Асимметричное строение нижнеальвеолярного нерва, добавочный канал в области нижней челюсти справа во фронтальной проекции конусно-лучевой компьютерной томографии от Vatech.

Лучевое обследование проводилось на различных этапах имплантации. Как правило, всем пациентам выполнялась ортопантомография на дооперационном этапе. В сложных клинических ситуациях использовались дентальная объемная томография. Изучение литературных источников по топографической анатомии лицевого скелета показало отсутствие какой-либо информации о связи строения и расположения нижнечелюстного канала с вероятностью повреждения нерва при установке имплантатов. Результаты проведенных собственных рентгеноанатомических исследований челюстно-лицевой системы позволили выделить клинически значимые особенности строения и расположения нижнечелюстного канала и нерва в теле челюсти. В этой связи к предрасполагающим анатомическим факторам риска развития хирургических осложнений при дентальной имплантации могут быть отнесены:
-Расположение нижнечелюстного канала и нерва вблизи корневой системы челюсти, встречающиеся почти у каждого второго пациента;
- Незащищенность сосудисто-нервного пучка, вследствие недоразвития нижнечелюстного канала (отсутствуют одна или несколько его стенок, либо канал не сформирован вовсе). Подобная ситуация встречается практически в 1/3 наблюдений, преимущественно у женщин.
-Рассыпной тип строения нижнечелюстного канала без четких анатомо-рентгенологических ориентиров. Относительно редкий анатомический вариант.
Результаты клинического обследования показали, что диагностика повреждений нижнего альвеолярного нерва основывалась на клинических проявлениях и результатах электрофизиологических исследований электропотенциалов кожи лица.

По аналогии с классификацией Seddon послеоперационные невриты разделены на три основных вида – по степени снижения чувствительности кожи лица.

Первая - легкая степень обусловливалась сдавлением ствола за счет отека, гематомы или прямой, непосредственной, но незначительной компрессией имплантатом. Рентгенологическое исследование посредством конусно-лучевой компьютерной томографии и программного обеспечения Ez3D-iV4.3.0 от Vatech, при маркировке нижнечелюстного канала, установило расположение дентальных имплантатов непосредственно у нижнечелюстного канала или эндопротезы перфорировали верхнюю стенку канала (Рис.2). Тактика лечения такого вида патологии основывается на сохранении имплантатов, назначении витаминов группы В, средств, оказывающих непосредственное стимулирующее влияние на проведение импульса по нервным волокнам, усиливающих сократимость гладкомышечной мускулатуры под влиянием агонистов ацетилхолиновых, адреналиновых, серотониновых, гистаминовых и окситоциновых рецепторов. Нарушение чувствительности во всех наблюдениях этой группы носило временный характер и восстановилось через 4–6 недель.

Рис.2 Конусно-лучевая компьютерная томография от Vatech. Нижнечелюстной канал маркирован с помощью программного обеспечения Ez3D-iV4.3.0.

Вторая и третья степени проявлялись частичным нарушением функции нерва, сопровождающимся различной степенью раздражения нервного ствола, болью в сочетании с парастезией или геперестезией. У этой категории обследованных чувствительность восстановилась не полностью через 1,5–2 месяца после имплантации. При проведении конусно-лучевой томографии отмечена компрессия нерва имплантатом. Измерение электропотенциалов кожи лица зафиксировало 45 мкА и выше, что свидетельствовало о нарушении проводимости нервных структур.

В этом случае тактика лечения данного типа осложнения основывается на удаление причинного имплантата, назначении физиотерапевтического лечения. Отмечается, что ситуация практически не меняетя и после удаления имплантатов. Электропотенциалы кожи лица определялись на уровне, превышающем 65 мкА прии полном нарушении функции/

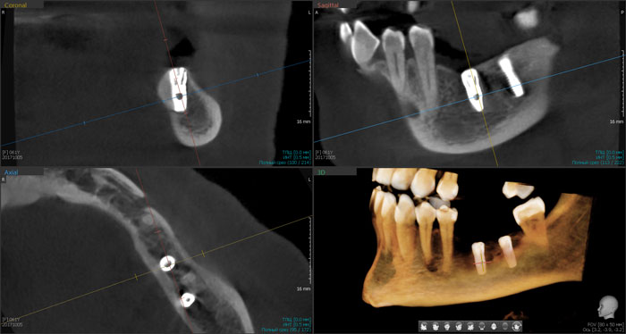
Результаты рентгенологического исследования показали, что дентальная объемная томография наиболее информативный метод при оценке степени повреждения нижнего альвеолярного нерва. Истинное трехмерное изображение исследуемого объекта и вращение его вокруг любой из трех осей на 360 градусов, позволяют визуализировались положение имплантата по отношению к нижнечелюстному каналу и документировать степень его повреждения. Программное обеспечение Ez3D-iV4.3.0 от Vatech предполагает огромный функциональный набор. Применительно к диагностике повреждения нерва после имплантации в данном софте в режиме высокого качества разрешения возможна трехпроекционная реконструкция, с возможностями переориентации осей, с измерением габаритов объекта исследования в масштабе 1:1(рис.3).

Рис.3 Конусно-лучевая компьютерная томография от Vatech. На коронарной проекции определяется верхушка дентального имплантата 3.6, перфорирующая медиальную стенку нижнечелюстного канала.  

Заключение:

Повреждение нижнего альвеолярного нерва типичное осложнение дентальной имплантации на нижней челюсти. Факторами риска травмы сосудисто- нервного пучка служат клинически значимые, но неучтенные при дентальной имплантации особенности строения и расположения нижнечелюстного канала в теле челюсти. Диагностика степени повреждения нерва основывается на клинико-рентгенологических данных и электрофизиологических исследованиях. Объективная информация о положении имплантат по отношению нижнечелюстного канала может быть получена при комплексном лучевом исследовании. Дентальная объемная томография может быть рекомендована в качестве метода выбора в диагностике повреждения нижнего альвеолярного нерва при дентальной имплантации.

Список литературы

  1. Анатомические и топографические особенности строения альвеолярных отростков и челюстей и их значение для лечебной практики./Методические рекомендации для врачей стоматологических поликлиник, отделений, кабинетов, для стоматологов-интернов и субординаторов. П., 1988. - 20 с. 
  2. Андреищев А.Р. Осложнения, связанные с нижними третьими молярами (Патогенез, клиника, лечение). Автореф. дисс. канд. мед. наук. – Санкт-Петербург, 2005. –15 с. 
  3. Ахмедханов Ю.А. Динамика развития третьих моляров и изменения ретромолярного расстояния у мужчин и женщин (по данным ОПТГ). Сб. матер. научн. практ. конф. «Перспективы развития последипломного образования - Актуальные проблемы стоматологии». – М., 2003. –с.324-325
  4. Ващухин Н.П. Местное обезболивание. Ошибки и осложнения. – Витебск., 2002. -314 с. 
  5. Гончаров И.Ю. Применение спиральной компьютерной томографии, трехмерного компьютерного моделирования, быстрого прототипирования в имплантологической практике. 
  6. Камалян А.В. Критерии экспертной оценки ошибок и осложнений при стоматологической имплантации (медико-правовые аспекты). автореф.дис.канд.М.,2007 
  7. Кононенко Ю.Г., Рожко Н.М., Рузин Г.П. Местное обезболивание в амбулаторной стоматологи: Изд. 2-е, перераб., доп.:,2002., 320 с. 
  8. Мушеев И.У., Олесова В.Н., Фрамошп О.З. Практическая дентальная имплантология. - М., — 266 с. 
  9. Сирак С.В. Клинико – анатомическое обоснование лечения и профилактики травм нижнеальвеолярного нерва, вызванных выведением пломбировочного материала в нижнечелюстной канал. Автореф.дисс..докт…мед…наук.- Москва, 2006.- 41с. 
  10. Флетчер Р., Флетчер С., Вагнер Э. Клиническая эпидемиология. Основы доказательной медицины. Пер.с англ.- М.Медиа Сфера, 3-е изд., 2004.- 352 с.,илл. 
  11. Хегедус Фредерик, Роберт Дицидью Повреждения тройничного нерва при установке имплантатов в области нижней челюсти Клинические аспекты. Перио Ай Кью, выпуск 9, 2007: 19-27. 
  12. Blau JN, Harris M & Kennett S (1969) Trigeminal sensory neuropathy. N Engl J Med 281: 8+7 701 814 1345. 
  13. Brodin P (1988) Neurotoxic and analgesic effects of root canal cements and pulp- protecting dental materials. Endod Dent Traumatol 4: 1-11. 
  14. Cohenca N, Mental nerve chipostesia associated with a non-vital tooth. Endod Dent Traumatol 1999, S2. 203-209. 
  15. Day RH. Diagnosis and treatment of trigeminal nerve injuries. J Calif Dent Assoc 1994; 22(6):48-51 
  16. Girod GC, Neukam FW, Girod B, Reumann K, Semrau H. The Fascicular Structure of the Lingual Nerve and Chorda Tympani: An Anatomic Study. J Oral Maxillofac Surg 1989;47: 607-9. 
  17. Gumru OZ, Yalcin S:. Surgical Treatment of Paresthesia Following Over-extension of Root Canal Filling Material: A Case Report. J Nihon Univ Sch Dent 1991, 33, S. 49-53 17. Haas DA, Lennon D: A 21 year retrospective study of reports of paresthesia following local anesthetic administration. J Can Dent Assoc 1995, 61, S. 319-320, S. 323-326, 329-330 
  18. Hallikainen D, Iizuka T & Lindqvist C (1992) Cross-sectional tomography in evaluation of patients undergoing osteotomy. J Oral Maxillofac Surg 50:1269-73. 
  19. Malamed S.F., Handbook of local Anaesthesia, 3d ed. St. Louis. Mosby-Year Book, Inc. 2004. 
  20. Ograyd JF. Mental paresthesia: An ominous symptom. Case reports. Aust Dent J 1996;41:3+7 701 814 1345. 
  21. Rood JP, Nooraldeen Shehab BAA. The radiological prediction of inferior alveolar nerve injury during third molar surgery. Br J Oral and Maxillofac Surg 1990;28:20-5. 
  22. Tal H, Moses O. A comparison of panoramic radiography with computed tomography in the planning of implant surgery. Dentomaxill. Radiol 1991;20:40-2. 
  23. Tevepaugh DB. Dodson ТВ. Are mandibular third molars a risk factor for angle fractures? A retrospective cohort study. J O. Maxillofac Surg 1995:53:646-9. 
  24. Truhlar RS, Orenstein IH, Morris HF, Ochi S Distribution of bone quality in patients receiving endosseous dental implants J Oral MaxiUofac Surg 1997, 55(12 Suppl 5 38-45

Резюме

Исход потери чувствительности временного или постоянного характера при повреждении нижнего альвеолярного нерва после хирургического этапа дентальной имплантации не очевиден. Изменения чувствительности могут выражаться различными симптомами. Сравнительный анализ различных методов лучевой диагностики установил, что использование конусно-лучевой компьютерной томографии при данном виде осложнении влияет на тактику дальнейшего лечения.

Ключевые слова:

Конусно-лучевая компьютерная томография, осложнения, нижний альвеолярный нерв, прогноз лечения, скрининговая диагностика

Summary

Temporary or permanent sensory impairment may result from injuries to nerve trunks during implant surgery. Establishing the prognosis is not simple. Patients may express the changes they subjectively perceive with a variety of words and ways. The comparative analysis of various methods of radiodiagnosis set that cone beam computed tomography can get helpful information for planning the treatment and envisage the result.

Key words:

Cone beam computed tomography, complications, the inferior alveolar nerve, treatment prognosis, screening diagnostic. Одним из предсказуемых и опасных осложнений при установке дентальных имплантатов на нижней челюсти следует считать повреждение нижнего альвеолярного нерва. Работами Сирака С.В., 2006 экспериментально установлена значительная вариабельность позиции нижнечелюстного канала в теле нижней челюсти. Так, практически в половине случаев нижнечелюстной канал имеет высокое расположение, т.е. вблизи верхушек корней зубов. Столь же часто он расположен у нижнего края челюсти. Редко, когда канал занимает срединное положение. Кроме того, канал может прилежать к язычной или щечной кортикальным пластинкам, либо располагаться срединно. В ряде случаев отмечается асимметрия в положении канала с обеих сторон челюсти. В исследованиях последних лет сообщается о травме нижнего альвеолярного нерва после зубной имплантации в 13-15% наблюдений, что, безусловно, определяет практическую значимость изучения постимплантационных невритов. Изучено 24 наблюдения повреждений нерва при дентальной имплантации на нижней челюсти. Практически во всех случаях осложнение фиксировано вскоре после завершения оперативного вмешательства. Пациенты жаловались на боль различной интенсивности, потерю чувствительности нижней губы и подбородка на стороне оперативного вмешательства. Клиническое обследование, кроме стандартных методик, включало электрофизиологическую диагностику функциональных нарушений нижнего альвеолярного нерва.

каналы стр 43
Рис. 1. Асимметричное строение нижнеальвеолярного нерва, добавочный канал в области нижней челюсти справа во фронтальной проекции конусно-лучевой компьютерной томографии от Vatech.

Лучевое обследование проводилось на различных этапах имплантации. Как правило, всем пациентам выполнялась ортопантомография на дооперационном этапе. В сложных клинических ситуациях использовались дентальная объемная томография. Изучение литературных источников по топографической анатомии лицевого скелета показало отсутствие какой-либо информации о связи строения и расположения нижнечелюстного канала с вероятностью повреждения нерва при установке имплантатов. Результаты проведенных собственных рентгеноанатомических исследований челюстно-лицевой системы позволили выделить клинически значимые особенности строения и расположения нижнечелюстного канала и нерва в теле челюсти. В этой связи к предрасполагающим анатомическим факторам риска развития хирургических осложнений при дентальной имплантации могут быть отнесены:
-Расположение нижнечелюстного канала и нерва вблизи корневой системы челюсти, встречающиеся почти у каждого второго пациента;
- Незащищенность сосудисто-нервного пучка, вследствие недоразвития нижнечелюстного канала (отсутствуют одна или несколько его стенок, либо канал не сформирован вовсе). Подобная ситуация встречается практически в 1/3 наблюдений, преимущественно у женщин.
-Рассыпной тип строения нижнечелюстного канала без четких анатомо-рентгенологических ориентиров. Относительно редкий анатомический вариант.
Результаты клинического обследования показали, что диагностика повреждений нижнего альвеолярного нерва основывалась на клинических проявлениях и результатах электрофизиологических исследований электропотенциалов кожи лица.

По аналогии с классификацией Seddon послеоперационные невриты разделены на три основных вида – по степени снижения чувствительности кожи лица.

Первая - легкая степень обусловливалась сдавлением ствола за счет отека, гематомы или прямой, непосредственной, но незначительной компрессией имплантатом. Рентгенологическое исследование посредством конусно-лучевой компьютерной томографии и программного обеспечения Ez3D-iV4.3.0 от Vatech, при маркировке нижнечелюстного канала, установило расположение дентальных имплантатов непосредственно у нижнечелюстного канала или эндопротезы перфорировали верхнюю стенку канала (Рис.2). Тактика лечения такого вида патологии основывается на сохранении имплантатов, назначении витаминов группы В, средств, оказывающих непосредственное стимулирующее влияние на проведение импульса по нервным волокнам, усиливающих сократимость гладкомышечной мускулатуры под влиянием агонистов ацетилхолиновых, адреналиновых, серотониновых, гистаминовых и окситоциновых рецепторов. Нарушение чувствительности во всех наблюдениях этой группы носило временный характер и восстановилось через 4–6 недель.

Рис.2 Конусно-лучевая компьютерная томография от Vatech. Нижнечелюстной канал маркирован с помощью программного обеспечения Ez3D-iV4.3.0.

Вторая и третья степени проявлялись частичным нарушением функции нерва, сопровождающимся различной степенью раздражения нервного ствола, болью в сочетании с парастезией или геперестезией. У этой категории обследованных чувствительность восстановилась не полностью через 1,5–2 месяца после имплантации. При проведении конусно-лучевой томографии отмечена компрессия нерва имплантатом. Измерение электропотенциалов кожи лица зафиксировало 45 мкА и выше, что свидетельствовало о нарушении проводимости нервных структур.

В этом случае тактика лечения данного типа осложнения основывается на удаление причинного имплантата, назначении физиотерапевтического лечения. Отмечается, что ситуация практически не меняетя и после удаления имплантатов. Электропотенциалы кожи лица определялись на уровне, превышающем 65 мкА прии полном нарушении функции/

Результаты рентгенологического исследования показали, что дентальная объемная томография наиболее информативный метод при оценке степени повреждения нижнего альвеолярного нерва. Истинное трехмерное изображение исследуемого объекта и вращение его вокруг любой из трех осей на 360 градусов, позволяют визуализировались положение имплантата по отношению к нижнечелюстному каналу и документировать степень его повреждения. Программное обеспечение Ez3D-iV4.3.0 от Vatech предполагает огромный функциональный набор. Применительно к диагностике повреждения нерва после имплантации в данном софте в режиме высокого качества разрешения возможна трехпроекционная реконструкция, с возможностями переориентации осей, с измерением габаритов объекта исследования в масштабе 1:1(рис.3).

Рис.3 Конусно-лучевая компьютерная томография от Vatech. На коронарной проекции определяется верхушка дентального имплантата 3.6, перфорирующая медиальную стенку нижнечелюстного канала.  

Заключение:

Повреждение нижнего альвеолярного нерва типичное осложнение дентальной имплантации на нижней челюсти. Факторами риска травмы сосудисто- нервного пучка служат клинически значимые, но неучтенные при дентальной имплантации особенности строения и расположения нижнечелюстного канала в теле челюсти. Диагностика степени повреждения нерва основывается на клинико-рентгенологических данных и электрофизиологических исследованиях. Объективная информация о положении имплантат по отношению нижнечелюстного канала может быть получена при комплексном лучевом исследовании. Дентальная объемная томография может быть рекомендована в качестве метода выбора в диагностике повреждения нижнего альвеолярного нерва при дентальной имплантации.

Список литературы

  1. Анатомические и топографические особенности строения альвеолярных отростков и челюстей и их значение для лечебной практики./Методические рекомендации для врачей стоматологических поликлиник, отделений, кабинетов, для стоматологов-интернов и субординаторов. П., 1988. - 20 с. 
  2. Андреищев А.Р. Осложнения, связанные с нижними третьими молярами (Патогенез, клиника, лечение). Автореф. дисс. канд. мед. наук. – Санкт-Петербург, 2005. –15 с. 
  3. Ахмедханов Ю.А. Динамика развития третьих моляров и изменения ретромолярного расстояния у мужчин и женщин (по данным ОПТГ). Сб. матер. научн. практ. конф. «Перспективы развития последипломного образования - Актуальные проблемы стоматологии». – М., 2003. –с.324-325
  4. Ващухин Н.П. Местное обезболивание. Ошибки и осложнения. – Витебск., 2002. -314 с. 
  5. Гончаров И.Ю. Применение спиральной компьютерной томографии, трехмерного компьютерного моделирования, быстрого прототипирования в имплантологической практике. 
  6. Камалян А.В. Критерии экспертной оценки ошибок и осложнений при стоматологической имплантации (медико-правовые аспекты). автореф.дис.канд.М.,2007 
  7. Кононенко Ю.Г., Рожко Н.М., Рузин Г.П. Местное обезболивание в амбулаторной стоматологи: Изд. 2-е, перераб., доп.:,2002., 320 с. 
  8. Мушеев И.У., Олесова В.Н., Фрамошп О.З. Практическая дентальная имплантология. - М., — 266 с. 
  9. Сирак С.В. Клинико – анатомическое обоснование лечения и профилактики травм нижнеальвеолярного нерва, вызванных выведением пломбировочного материала в нижнечелюстной канал. Автореф.дисс..докт…мед…наук.- Москва, 2006.- 41с. 
  10. Флетчер Р., Флетчер С., Вагнер Э. Клиническая эпидемиология. Основы доказательной медицины. Пер.с англ.- М.Медиа Сфера, 3-е изд., 2004.- 352 с.,илл. 
  11. Хегедус Фредерик, Роберт Дицидью Повреждения тройничного нерва при установке имплантатов в области нижней челюсти Клинические аспекты. Перио Ай Кью, выпуск 9, 2007: 19-27. 
  12. Blau JN, Harris M & Kennett S (1969) Trigeminal sensory neuropathy. N Engl J Med 281: 8+7 701 814 1345. 
  13. Brodin P (1988) Neurotoxic and analgesic effects of root canal cements and pulp- protecting dental materials. Endod Dent Traumatol 4: 1-11. 
  14. Cohenca N, Mental nerve chipostesia associated with a non-vital tooth. Endod Dent Traumatol 1999, S2. 203-209. 
  15. Day RH. Diagnosis and treatment of trigeminal nerve injuries. J Calif Dent Assoc 1994; 22(6):48-51 
  16. Girod GC, Neukam FW, Girod B, Reumann K, Semrau H. The Fascicular Structure of the Lingual Nerve and Chorda Tympani: An Anatomic Study. J Oral Maxillofac Surg 1989;47: 607-9. 
  17. Gumru OZ, Yalcin S:. Surgical Treatment of Paresthesia Following Over-extension of Root Canal Filling Material: A Case Report. J Nihon Univ Sch Dent 1991, 33, S. 49-53 17. Haas DA, Lennon D: A 21 year retrospective study of reports of paresthesia following local anesthetic administration. J Can Dent Assoc 1995, 61, S. 319-320, S. 323-326, 329-330 
  18. Hallikainen D, Iizuka T & Lindqvist C (1992) Cross-sectional tomography in evaluation of patients undergoing osteotomy. J Oral Maxillofac Surg 50:1269-73. 
  19. Malamed S.F., Handbook of local Anaesthesia, 3d ed. St. Louis. Mosby-Year Book, Inc. 2004. 
  20. Ograyd JF. Mental paresthesia: An ominous symptom. Case reports. Aust Dent J 1996;41:3+7 701 814 1345. 
  21. Rood JP, Nooraldeen Shehab BAA. The radiological prediction of inferior alveolar nerve injury during third molar surgery. Br J Oral and Maxillofac Surg 1990;28:20-5. 
  22. Tal H, Moses O. A comparison of panoramic radiography with computed tomography in the planning of implant surgery. Dentomaxill. Radiol 1991;20:40-2. 
  23. Tevepaugh DB. Dodson ТВ. Are mandibular third molars a risk factor for angle fractures? A retrospective cohort study. J O. Maxillofac Surg 1995:53:646-9. 
  24. Truhlar RS, Orenstein IH, Morris HF, Ochi S Distribution of bone quality in patients receiving endosseous dental implants J Oral MaxiUofac Surg 1997, 55(12 Suppl 5 38-45
РУ КК