EzSensor - цифровая внутриротовая радиовизиография от Vatech
Введение
Рис. 1 Применение радиовизиографов
Основной целью исследования с помощью цифровой внутриротовой рентгенографии является получение четкого, ясного изображения, как зубов, так и периапикальных тканей. (Рис.1) При периапикальной контактной рентгенографии, необходимо помнить, что при интерпретации изображения профессионалами учитывается тени деструктивных изменений периапикальных зон, которые наслаиваются на контуры корней зубов, при этом искажаются размеры. Такие недостатки напрямую зависят от погрешности наклона рентгеновской трубки, центрации пучка излучения, локализация пленки в полости рта пациента. Современные лучевые технологии в стоматологической практике постоянно в процессе совершенствования. С целью использования всех возможностей методов рентгенодиагностики при максимальном уменьшении лучевой нагрузки во время проведения исследования, фирмы-производители предлагают огромный выбор рентгенотехники на стоматологическом рынке. Выбор наиболее совершенных технических данных, основывается на качестве изображения, скорости его получения и передачи, совместимости с любым компьютером, долговечности и эргономичности, легкости использования, а также цене. Ценность EzSensor от Vatech заключена в уникальном дизайне датчиков: тонкий корпус с гладкими краями (Рис.2), укрепленное кабельное соединение. Для гарантийного попадания лучей на датчик EzSensor в полости рта разработаны позиционеры RINN (Рис.3) для разных типов зубов и типов съемки. Эта функция привносит удобство в работу стоматолога и гарантирует легкость позиционирования, на ряду с комфортабельностью для пациентов.
Рис. 2 Дизайн датчиков от Vatech
Рис. 3 Позиционеры RINN (дополнительная опция)
Рис. 4 EzSensor 1.5 29.2х38.7х4.95 мм
Также представлены 3 вида размеров датчиков, выбор которых зависит от клинического случая. Толщина датчика составляет 4,95 мм. Активная поверхность датчика соответствует размерам:
EzSensor 1.0 26.1х36.8х4.95 мм;
EzSensor 1.5 29.2х38.7х4.95 мм (Рис.4)
EzSensor 2.0 31.5х42.8х4.95 мм
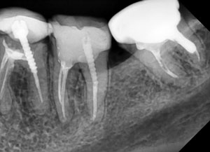
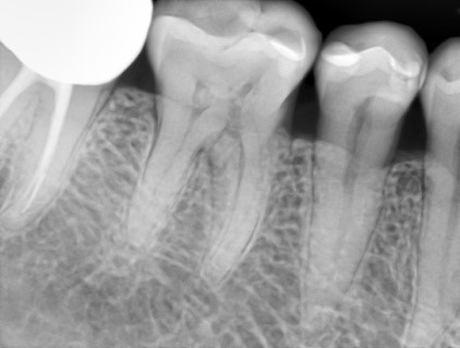
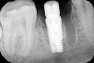
Качество снимков обладает высокой разрешающей способностью отношение сигнал /шум – важнейший фактор в получении изображения, составляет >37 dB, размер пикселя 0,035 мм. Благодаря высокой чувствительности и вариабельности размеров датчиков, визуализация становится детальной, в этой связи возможно проведение диагностики кариеса на контактных поверхностях. Преимущества данной методики при сравнении с пленочной рентгенографии состоит в скорости получения изображения объекта исследования, низкая доза облучения пациентов, возможность постпроцессорской обработки, визуализации деталей в диагностике послеоперационных результатов дентальной имплантации, эндодонтического лечения и постэндодонтического лечения (Рис.5), уточнения расположения кист, гранулем, конкрементов в протоках слюнных желез.
Рис. 5 Диагностика дентальной имплантации и эндодонтичского лечения.
Оперативная передача изображения на компьютер в режиме реального времени, используя USB 2.0 для универсальной совместимости, способствует повышению удобства и качества диагностики (Рис.6).
Рис.6 USB 2.0
Одной из главных целей стоматолога является четкое понимание пациента сути его состояния, плана лечения, а также осознание всех рисков при согласии на оперативное вмешательство. С целью улучшения качества консультаций инженеры компании Vatech оснастили программное обеспечение современными мультимедийными роликами. Показательность и информативность, наряду с комментариями профессионала приводят к эффективности взаимодействия врача с пациентами (Рис.7).

Рис. 7 Мультимедийные ролики EzCodi
Следует отметить, что при установке датчика в проекции моляров, у некоторых пациентов отмечается рвотный рефлекс. В целях его предотвращения до начала исследования рекомендуется выполнить аппликационную анестезию, предупредив пациента дышать через нос. Ожидания пациентов итогов лечения зависят от их восприятия информации, изложенной лечащим врачом. В большинстве случаев, больные имеют весьма относительное представление о реальных особенностях предстоящего лечения, сложностях его проведения и возможных в дальнейшем проблемах. В задачи стоматологов входит убедиться, что пациент понимает суть своего состояния, и способен объективно оценить масштаб предстоящего лечения. В этой связи приложение оснащено 200 мультимедийными роликами EzCodi для создания комфортных условий консультаций пациентов, где в доступной форме отражена планируемая процедура вмешательства. Показательность информации, наряду с комментариями профессионала приводят к сотрудничеству пациентов для точного понимания своего клинического случая (Рис.7).
Заключение
Внутриротовая радиовизиография всегда сопутствует стоматологическому лечению и является самым распространенным методом лучевой диагностики независимо от материальной обеспеченности клиники или отделения. Глобальные медицинские тенденции распространяют мнение досконального изучения стоматологического рынка, а также выбора в пользу быстрого, безопасного и эффективного получения данных о своих пациентов. В этой связи при выборе обязательного метода рентгенологического обследования стоматологических пациентов необходимо учитывать все современные требования к параметрам радиовизиографа.