Диагностика

Обзор частых ошибок позиционирования в панорамной рентгенографии.

Самым распространённым внеротовым обследованием в настоящее время является панорамная рентгенография. Сегодня данный способ диагностики позволяет получить изображения с уменьшением воздействия излучения и низкой стоимостью, благодаря развитию технологий медицинского рентгеновского оборудования.

Однако этот метод требует точного соблюдения алгоритма позиционирования пациента.

Грамотные действия оператора во время проведения исследований может свести к минимуму облучение пациента. Обратная ситуация с неправильным выполнением алгоритма сканирования специалистом и/или пациентом может привести к получению рентгенографического изображения неудовлетворительного качества, что также может привести к ошибочному диагнозу и разработке неадекватного плана лечения.

Поскольку ошибки позиционирования пациента являются самым частым видом ошибок при панорамной рентгенографии в данной статье мы постарались продемонстрировать наиболее часто встречающиеся из них.

Самые частые ошибки позиционирования, обнаруженные на панорамных рентгенограммах

можно разделить на пять групп:

1. Суммация тени позвоночника на резцы и клыки обеих челюстей, в виде наложения белых полупрозрачных теней в середине снимка.

Рис. 1. Наложение темной тени на верхушки зубов верхней челюсти.

Одна из самых частых ошибок на снимках. Связана с положением шейного отдела позвоночника у пациента во время сканирования.

Что делать:
- Попросите пациента выпрямить шейный отдел позвоночника

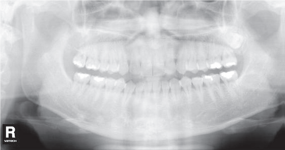
2. Наложение темной тени на верхушки зубов верхней челюсти.

Рис. 2. Наложение темной тени на верхушки зубов верхней челюсти.

Возникает за счет проекции воздуха в ротовой полости.

Что делать:
- Непосредственно перед началом экспозиции попросите пациента поднять кончик языка к нёбу.

3. Нечеткость контуров структур по всему полю сканирования, за счет движения пациента.

Рис. 3. Нечеткость контуров структур по всему полю сканирования.

Динамическую нерезкость достаточно легко определить на изображении, поскольку практически все анатомические структуры будут иметь двойные нечеткие контуры по всему полю изображения.

Что делать:
- проинструктировать пациента о необходимости оставаться неподвижным во время сканирования.

4. Искажения связанные с неправильным положением головы

Рис. 4. Искажения связанные с неправильным положением головы.

Данная ошибка имеет множество вариантов искажений. Это происходит, когда оператор выставил навигационные лазеры неточно, либо пациент смещает голову во время экспозиции.

Что делать:
- Ориентирование головы пациента по вертикальному, горизонтальному и клыковому лазерам обеспечивает четкие снимки и нивелирует подобные искажения.

Лучи должны соответствовать следующим линиям:

1 - медиальная линия лица
2 – линия Франкфурта
3 – средняя линия клыка

Рис. 5. Ориентирование головы пациента по вертикальному, горизонтальному и клыковому лазерам.

5. Несоответствие параметров экспозиции Kv, mA.

Рис. 6, Рис.7. Искажения из-за несоответствия параметров экспозиции Kv, mA.

Нужно сказать, что данная ошибка, к счастью, возникает не так часто. Выбор настроек экспозиции осуществляется в автоматическом режиме, благодаря информации о дате рождения пациента из его карточки. Однако, в случае, когда данный параметр остается не заполненным, параметры экспозиции могут быть выбраны неадекватно относительно пациента.

Что делать:
- На подготовительном этапе исследования при создании карточки пациента укажите дату рождения пациента.
- Если настройки экспозиции избыточны (рис А) – уменьшите Kv, mA.
- Если настройки экспозиции недостаточны – увеличьте Kv, mA

Необходимо отметить, что приведенные в статье ошибки могут комбинироваться и встречаться на изображении после одного сканирования, что приводит к повторной экспозиции, поэтому оператору следует провести инструктаж пациента о порядке проведения обследования.

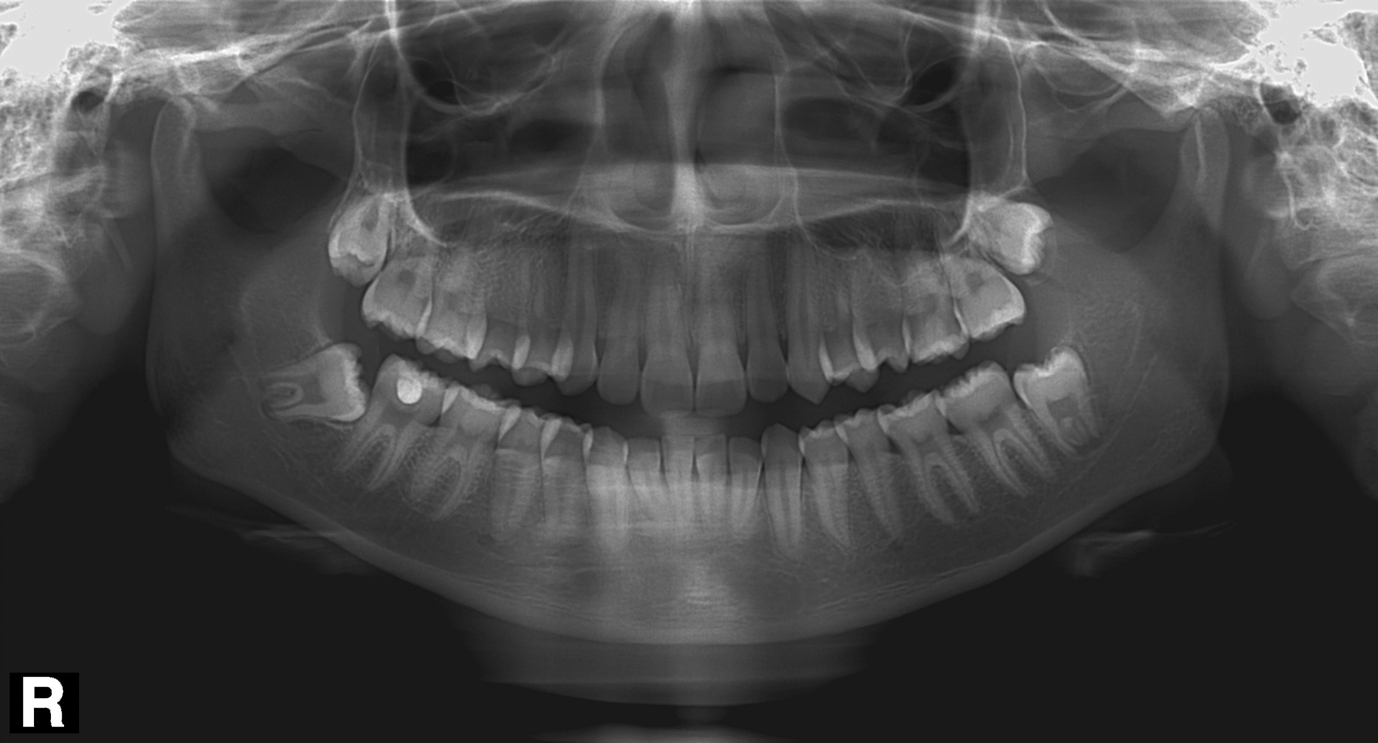
Рис. 8. Пример обзорного снимка ротовой полости

Помните, что панорамная рентгенография – это рутинное обследование в стоматологических клиниках. Следовательно, процедура получения изображения должна выполнятся надлежащим образом для получения приемлемого качества изображения для диагностики.

Самым распространённым внеротовым обследованием в настоящее время является панорамная рентгенография. Сегодня данный способ диагностики позволяет получить изображения с уменьшением воздействия излучения и низкой стоимостью, благодаря развитию технологий медицинского рентгеновского оборудования.

Однако этот метод требует точного соблюдения алгоритма позиционирования пациента.

Грамотные действия оператора во время проведения исследований может свести к минимуму облучение пациента. Обратная ситуация с неправильным выполнением алгоритма сканирования специалистом и/или пациентом может привести к получению рентгенографического изображения неудовлетворительного качества, что также может привести к ошибочному диагнозу и разработке неадекватного плана лечения.

Поскольку ошибки позиционирования пациента являются самым частым видом ошибок при панорамной рентгенографии в данной статье мы постарались продемонстрировать наиболее часто встречающиеся из них.

Самые частые ошибки позиционирования, обнаруженные на панорамных рентгенограммах

можно разделить на пять групп:

1. Суммация тени позвоночника на резцы и клыки обеих челюстей, в виде наложения белых полупрозрачных теней в середине снимка.

Рис. 1. Наложение темной тени на верхушки зубов верхней челюсти.

Одна из самых частых ошибок на снимках. Связана с положением шейного отдела позвоночника у пациента во время сканирования.

Что делать:
- Попросите пациента выпрямить шейный отдел позвоночника

2. Наложение темной тени на верхушки зубов верхней челюсти.

Рис. 2. Наложение темной тени на верхушки зубов верхней челюсти.

Возникает за счет проекции воздуха в ротовой полости.

Что делать:
- Непосредственно перед началом экспозиции попросите пациента поднять кончик языка к нёбу.

3. Нечеткость контуров структур по всему полю сканирования, за счет движения пациента.

Рис. 3. Нечеткость контуров структур по всему полю сканирования.

Динамическую нерезкость достаточно легко определить на изображении, поскольку практически все анатомические структуры будут иметь двойные нечеткие контуры по всему полю изображения.

Что делать:
- проинструктировать пациента о необходимости оставаться неподвижным во время сканирования.

4. Искажения связанные с неправильным положением головы

Рис. 4. Искажения связанные с неправильным положением головы.

Данная ошибка имеет множество вариантов искажений. Это происходит, когда оператор выставил навигационные лазеры неточно, либо пациент смещает голову во время экспозиции.

Что делать:
- Ориентирование головы пациента по вертикальному, горизонтальному и клыковому лазерам обеспечивает четкие снимки и нивелирует подобные искажения.

Лучи должны соответствовать следующим линиям:

1 - медиальная линия лица
2 – линия Франкфурта
3 – средняя линия клыка

Рис. 5. Ориентирование головы пациента по вертикальному, горизонтальному и клыковому лазерам.

5. Несоответствие параметров экспозиции Kv, mA.

Рис. 6, Рис.7. Искажения из-за несоответствия параметров экспозиции Kv, mA.

Нужно сказать, что данная ошибка, к счастью, возникает не так часто. Выбор настроек экспозиции осуществляется в автоматическом режиме, благодаря информации о дате рождения пациента из его карточки. Однако, в случае, когда данный параметр остается не заполненным, параметры экспозиции могут быть выбраны неадекватно относительно пациента.

Что делать:
- На подготовительном этапе исследования при создании карточки пациента укажите дату рождения пациента.
- Если настройки экспозиции избыточны (рис А) – уменьшите Kv, mA.
- Если настройки экспозиции недостаточны – увеличьте Kv, mA

Необходимо отметить, что приведенные в статье ошибки могут комбинироваться и встречаться на изображении после одного сканирования, что приводит к повторной экспозиции, поэтому оператору следует провести инструктаж пациента о порядке проведения обследования.

Рис. 8. Пример обзорного снимка ротовой полости

Помните, что панорамная рентгенография – это рутинное обследование в стоматологических клиниках. Следовательно, процедура получения изображения должна выполнятся надлежащим образом для получения приемлемого качества изображения для диагностики.

РУ КК