Аппарат рентгеновский цифровой панорамный PaX-i Plus с принадлежностями
Написать нам
01 / 04
Аппарат рентгеновский цифровой панорамный PaX-i Plus с принадлежностями
Написать нам
01
Свойства
Написать нам


PaX-i Plus - Обновленное решение для идеальной диагностики

PaX-i Plus обеспечивает наиболее точные и высококачественные панорамные изображения, сочетая в себе обновленные технологические решения и накопленный опыт компании Vatech в области стоматологической визуализации.
Благодаря этому удалось добиться превосходной точности диагностики для качественного планирования лечения и удовлетворенности пациентов.


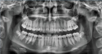
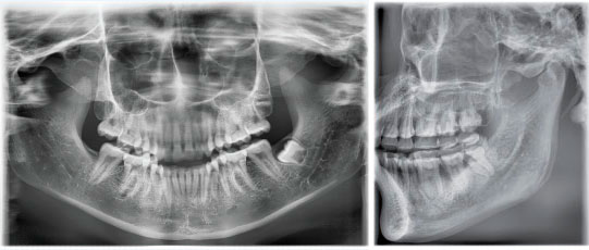
Высокая диагностическая ценность панорамных изображений

Новый стандарт панорамных снимков

Высококачественные и резкие панорамные изображения позволяют повысить качество вашей диагностики. Улучшенная детализация панорамных снимков, особенно апексов зубов фронтального отдела.

Минимизация артефактов движения с помощью технологии Rapid Ceph

Новый шаг в цефалометрической диагностике. Технология Rapid Ceph от Vatech минимизирует артефакты движения и обеспечивает более быстрый диагностический рабочий процесс, получая при этом цифровые изображения высочайшего качества.

Сделайте диагностику простой и эффективной с различными режимами съемки

  • • Множество режимов съемки для удовлетворения всех диагностических требований

  • • Возможность указать форму зубной дуги и плотность костных тканей для лучшей адаптации дозы

  • • Режим быстрого сканирования, программы сегментирования и детский режим предназначены для снижения лучевой нагрузки и одновременной экономии времени

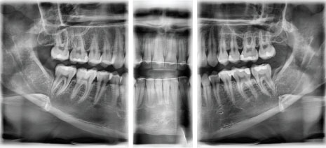
Интерпроксимальный (Bitewing)

Визуализация отдельных сегментов челюсти; меньшая доза облучения, чем в стандартном режиме.

Интерпроксимальный (Bitewing) левая / фронтальная / правая проекции

Предназначены для диагностики контактного кариеса. Для уменьшения наложений коронок зубов друг на друга рентгеновский луч падает перпендикулярно к касательной зубного ряда. Интерпроксимальный снимок охватывает либо группу жевательных зубов, либо ограничивается левой, правой или фронтальной зоной.

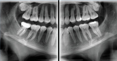
Ортогональный / стандартный (Orthogonal / Standard)

Специальное анатомическое изображение, которое получается при соблюдении перпендикулярности направления рентгеновских лучей к касательной зубного ряда для получения панорамного изображения, на котором минимизируются наложения жевательных зубов.

Латеральная и задне-передняя проекции ВНЧС (TMJ )

Режим визуализации, используемый для получения снимка в боковой и задне-передней проекциях височно-нижнечелюстного сустава.

Пазухи прямая и боковая проекции (sinus)

Программы съемки синусов в латеральной и задне-передней проекциях позволяют получить снимки области синуса в соответствующих проекциях (опция).

Решение специально для ортодонтов

Цефалостат быстрого непрерывного сканирования
Rapid Ceph
  • • 1.9-секунд - быстрое сканирование для превосходного качества изображения

  • • Снижение артефактов движения и более быстрый рабочий процесс

Стандартный набор диагностических программ для ортодонтов:


Боковая проекция (LATERAL)

Исследование заболеваний черепно-лицевой области, травм и врожденных пороков развития, исследуются мягкие ткани в оториноларингологической области, пазух и твердого нёба. Исследование осуществляется за счет измерения углов, образованных соединительными линиями между черепными точками измерения для дальнейшей оценки роста лицевой области. Широко применяется в ортодонтии и челюстно-лицевой хирургии.

Задне-передняя проекция (PA)

Используется для оценки роста костей лицевого скелета. Необходима для исследования ветвей нижней челюсти, ретромолярной области нижней челюсти и боковой стенки гайморовой пазухи, а также лобных пазух, решетчатой кости. Исследование осуществляется за счет измерения углов, образованных соединительными линиями между черепными точками для дальнейшей оценки роста лицевой области. Широко используется в ортодонтии и челюстно-лицевой хирургии.

Подбородочно-теменная проекция (SMV)

Используется для изучения основания черепа, горизонтальных угловых осей нижнечелюстных мыщелков, клиновидной пазухи, деформации нижней челюсти, боковой стенки верхнечелюстной пазухи и переломов скуловой дуги. Также полезен в изучении клиновидной кости и отверстий основания черепа.

Проекция Уотерса (Waters View)

Используют для исследования лобных пазух, решетчатой кости, лобно-скулового шва, полости носа, положения венечного отростка между верхней челюстью и скуловой дугой.

Запястье (Carpus)

Используется для комплексной оценки костного возраста и сравнения с изменениями в черепе.

В комплекте с данным аппаратом Вы приобретаете 5 лицензий программного обеспечения EzDent-i со встроенным планировщиком имплантов

  • • Программное обеспечение EzDent-i ведет электронную картотеку с информацией о пациентах вместе с их изображениями

  • • Хранимые изображения доступны для просмотра и цифровой обработки фильтрами с любого компьютера в локальной сети

  • • Делает Вашу консультацию пациента более эффективной и наглядной с возможностью организации многооконного интерфейса для отображения информации, например, до и после лечения




Написать нам
02
3D модель аппарата
03
Характеристики
Функции
Панорама
Фокальное пятно
0.5 мм
Шкала серого
14 бит
Время сканирования
Панорама: обычное 10.4 сек / HD 14 сек
Позиционирование
Стоя/Сидя в инвалидной коляске
Тип датчика
CMOS
Генератор
Напряжение: 60-99 кВ/Ток:4-10 мА
Вес
PaX-i Plus: (Без опоры) 90 кг
PaX-i Plus SC: 120 кг (без опоры)
Опора: 50 кг
Гарантия
10 лет на все комплектующие

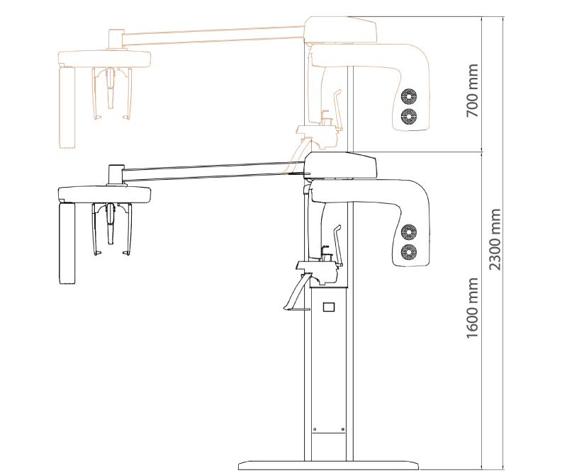
Размеры

Вид спереди с цефалостатом
Вид спереди без цефалостата
Вид сверху с цефалостом
Вид сверху без цефалостата
04
Инструкции
РУ КК